CLINICAL CASE

Ridge reconstruction after severe buccal bone loss – immediate implant placement with NOVAMag® membrane

Dr. Raphaël Bettach

This case involved a complex upper jaw reconstruction in a patient presenting with multiple missing teeth and severely compromised bone volume. During the surgical phase, a mucoperiosteal flap was elevated to expose the underlying bone, revealing significant buccal bone defects across several implant sites.

After careful assessment, implants were strategically placed, including in regions with vestibular bone deficiencies that required regenerative support. The defects were filled with a bone grafting material to promote new bone formation and restore volume. A folded NOVAMag® membrane was then applied to maintain space and provide structural stability. In certain areas, a collagen membrane was combined with NOVAMag® membrane to support soft tissue integration and optimize healing.

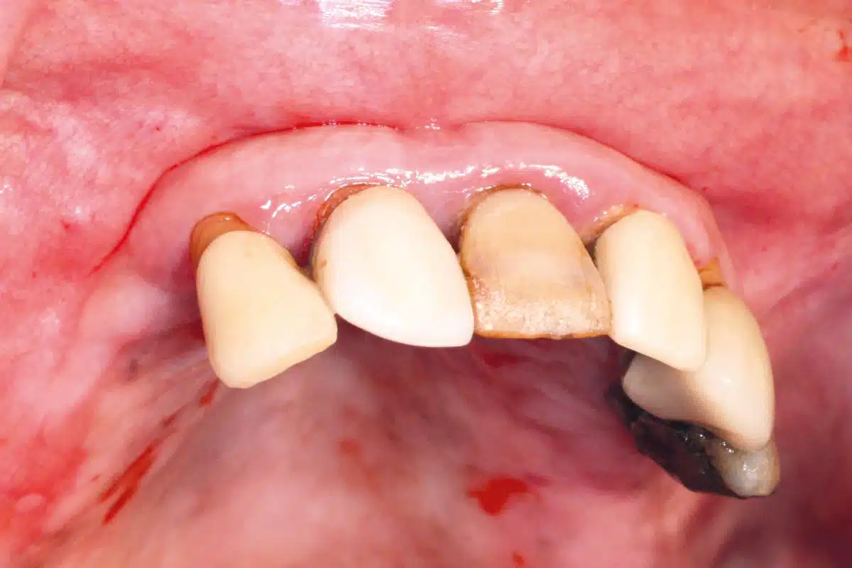
A CBCT scan performed after surgery confirmed accurate implant positioning and successful regeneration of the buccal bone, validating the effectiveness of the regenerative approach. Seven months after surgery, clinical followup demonstrated excellent soft tissue healing. The mucosa was healthy, and abutments were placed with optimal stability, indicating good osseointegration and bone volume preservation.

A definitive prosthetic bridge was placed and trans-screwed onto multi-unit abutments, restoring both function and aesthetics for the patient. A panoramic radiograph taken at 7 months post-op further confirmed the successful outcome, showing stable implant positioning and harmonious integration of the prosthetic solution.

Also interesting

Academy

0
Surgeries
0
Webinars
0
Specialists