CASE OF THE MONTH     |   11/2025

Treatment of peri-implantitis with Shield Technique using NOVAMag® SHIELD and cerabone® plus

Dr. Domagoj Vrazic

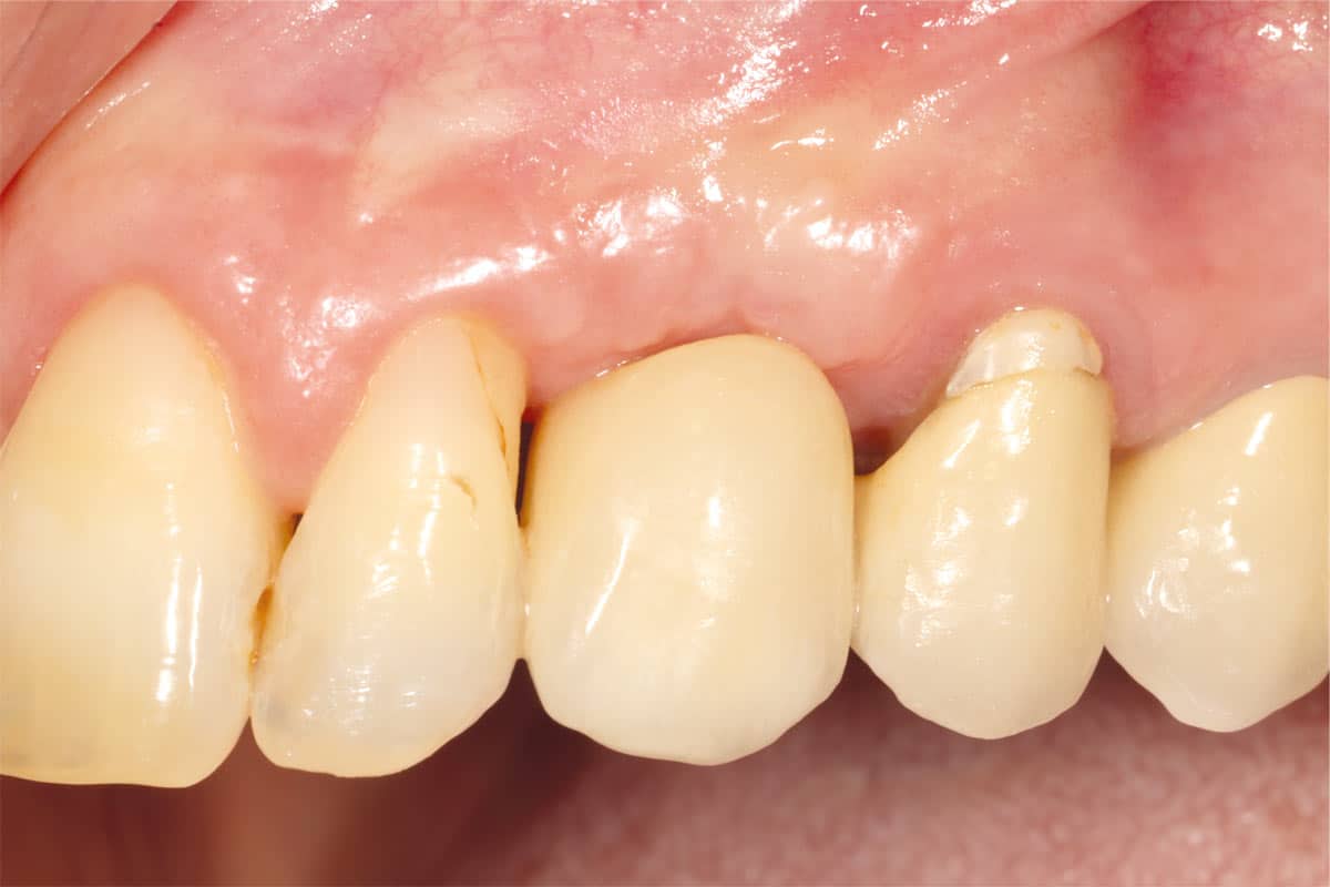
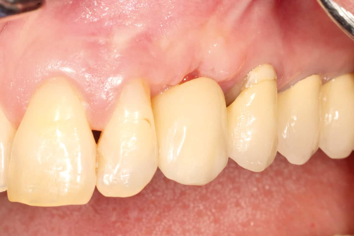
A patient presented with a peri-implant bone defect characterized by bone resorption compromising the stability and long-term prognosis of the implant. To re-establish sufficient bone volume and ensure implant longevity, a regenerative surgical intervention was performed using a guided bone regeneration (GBR) approach. The treatment featured cerabone® plus for grafting, complemented by the Shield Technique using fully resorbable magnesium-based NOVAMag® SHIELD to guide bone regeneration.

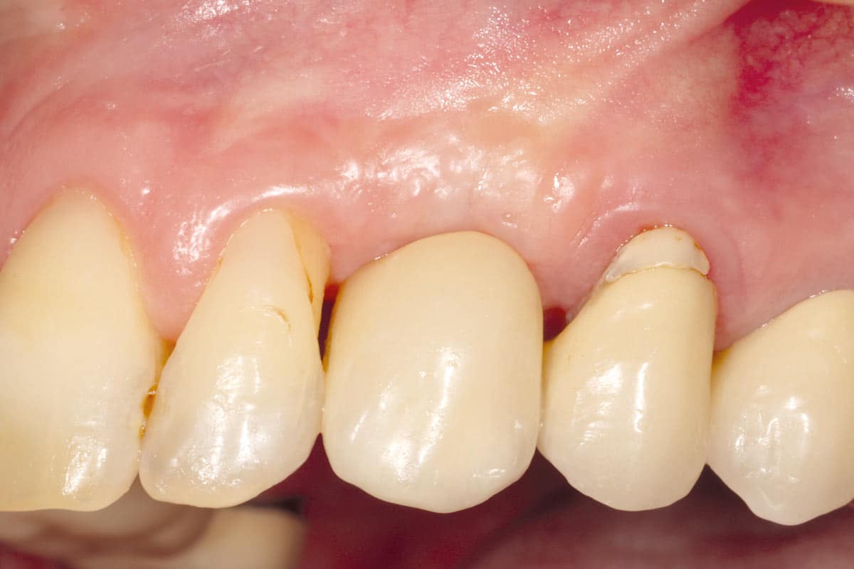
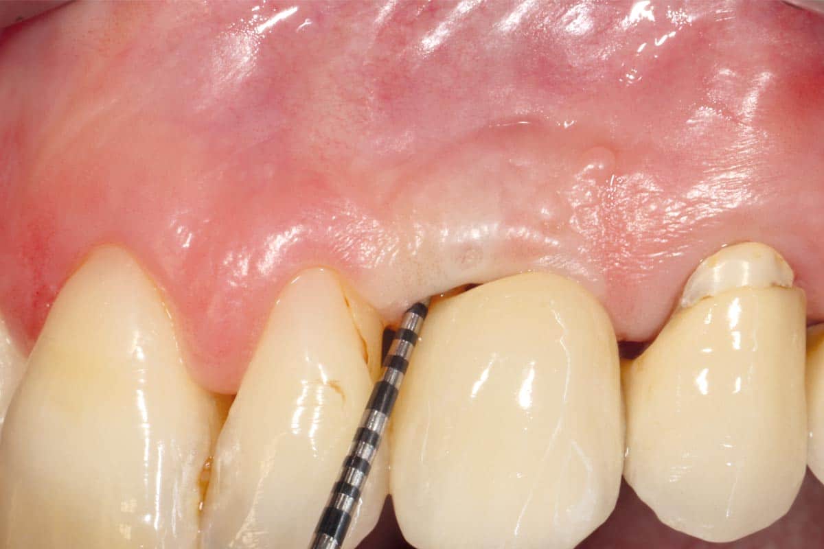
At the 6-month follow-up, clinical and radiographic evaluations demonstrated pronounced new bone formation and favourable soft tissue integration, indicating successful regenerative outcomes. By the 12-month follow-up, bone regeneration had advanced even further, and implant stability was significantly strengthened, confirming the procedure’s lasting success. A CBCT scan at 6 months revealed promising results, which were even more striking at the 12-month mark, demonstrating optimal bone integration and implant stability.

The „Case Of The Month“ highlights every month a clinical case, which distinguished itself by the clinical results or the treatment concept in combination with the applied botiss biomaterials. The selection of the case is based on content relevance and quality of the documentation.

Academy

0
Surgeries
0
Webinars
0
Specialists