CASE OF THE MONTH | 10/2025
Dr. Eduardo Münzenmayer
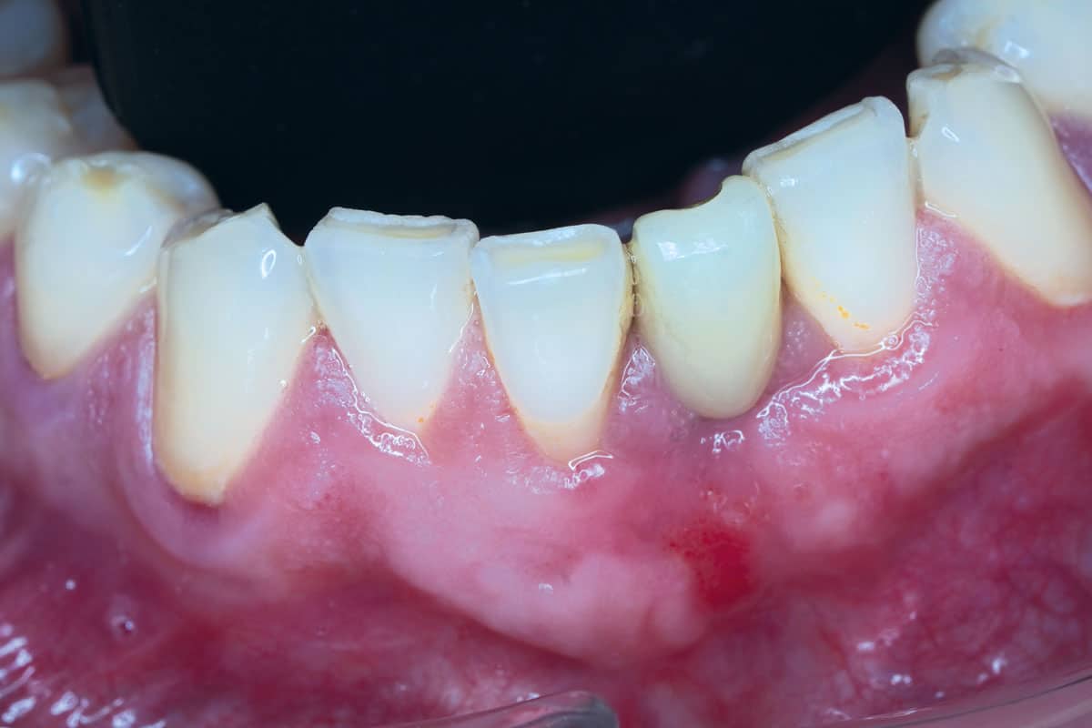
A patient presented with severe gingival recession and pronounced inflammation affecting tooth #24. Following extraction of the tooth and thorough debridement of the infected site, a complete loss of the vestibular wall and a slight resorption of the lingual wall were identified. In this situation, NOVAMag® membrane was cut to shape and given a suitable convexity and used as a rigid plate and fixated with two resorbable NOVAMag® fixation screws. The membrane was fixated of the lingual side only in this case. A narrow ⌀ 3.2 × 13 mm implant was placed. The remaining peri-implant gaps were filled with maxgraft® granules, and the augmentation site was finally covered with a collprotect® membrane.
Follow-up CBCT scans taken at 4 and 9 months demonstrated stable bone regeneration and preservation of the ridge contour in its natural form on the buccal side where the membrane was placed. Deeper placement of the implant initially would have been better. Satisfactory closure of the initial gingival recession was achieved despite minimal mucogingival intervention.
The „Case Of The Month“ highlights every month a clinical case, which distinguished itself by the clinical results or the treatment concept in combination with the applied botiss biomaterials. The selection of the case is based on content relevance and quality of the documentation.









