CLINICAL CASE

Reconstruction of the alveolar buccal wall in a compromised extraction socket using NOVAMagĀ® SHIELD and ceraboneĀ®

Dr. Alfonso Caiazzo

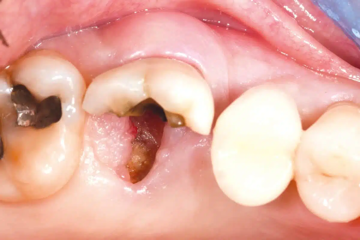
A patient presented with a fractured maxillary first molar (tooth 16) requiring extraction. Due to significant bone loss, a staged approach was planned, performing bone augmentation followed by delayed implant placement.

Following tooth extraction,Ā NOVAMagĀ® SHIELD was placed on the buccal side in a flapless approach to replace the missing wall and provide space for proper bone regeneration in the socket. The extraction socket was grafted with ceraboneĀ® followed by folding the external apical part ofĀ NOVAMagĀ® SHIELD over the alveolus to provide structural reinforcement. The soft tissue was sutured, intentionally leaving the folded portion of the shield exposed.

At the five-month re-entry, the ridge exhibited excellent preservation, allowing for implant placement without the need for additional GBR. After a further three-month period, the final prosthetic restoration was delivered.

Despite the thin socket walls,Ā NOVAMagĀ® SHIELD effectively preserved the alveolar architecture. This approach eliminates the need for a more invasive GBR technique while achieving a successful aesthetic outcome.

Also interesting

Academy

0
Surgeries
0
Webinars
0
Specialists